Craniotomia para Hematoma Intraparenquimatoso
#cirurgia #neurocirurgia
Indicações Clínicas: Hematomas intracerebrais espontâneos ou traumáticos com efeito de massa significativo, hematomas com deterioração neurológica progressiva, hematomas superficiais (lóbulo cerebral) de tamanho >30ml, hematomas causando desvio de linha média >5mm, e hematomas com pressão intr# 🩸 Craniotomia para Evacuação de Hematoma Intraparenquimatoso
> "Drenando o sangue que sufoca o tecido cerebral, aliviando a pressão para dar espaço à recuperação."
O que é?
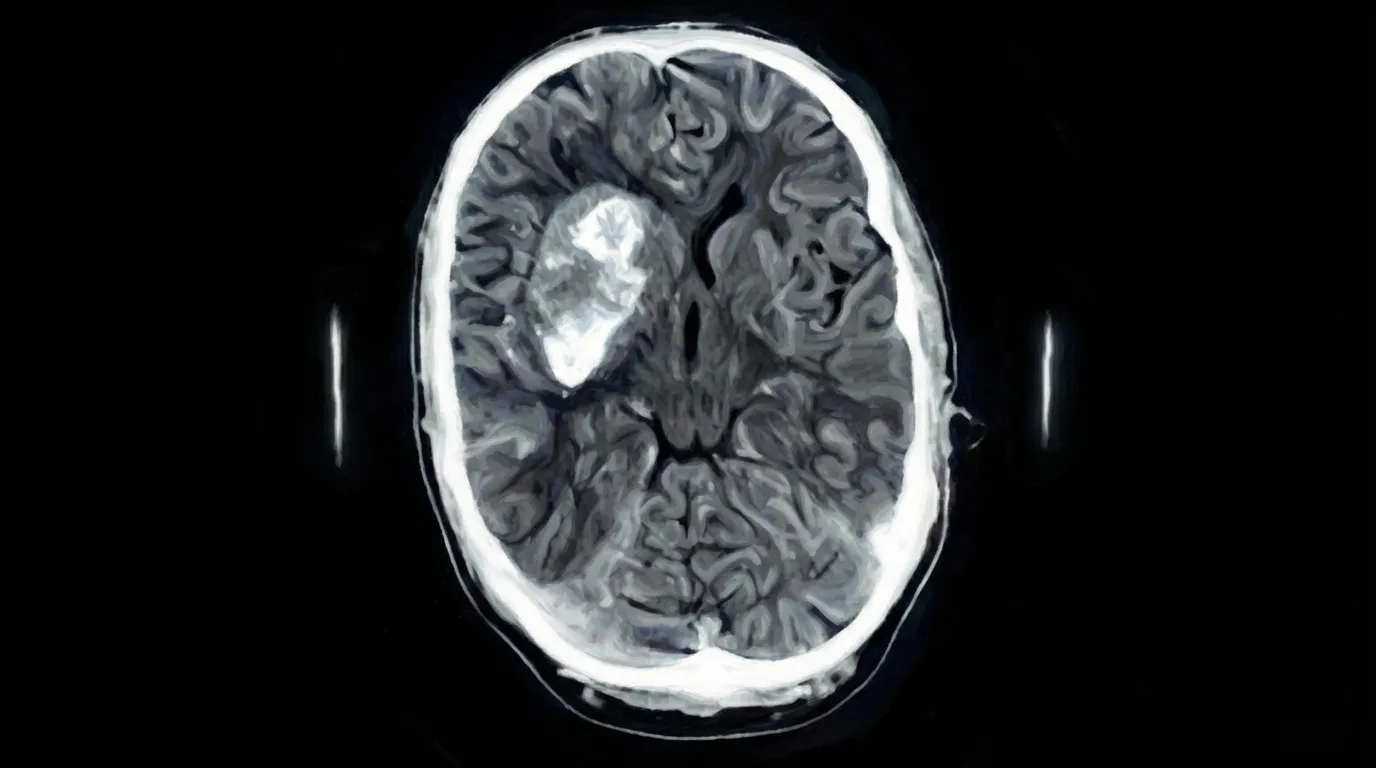
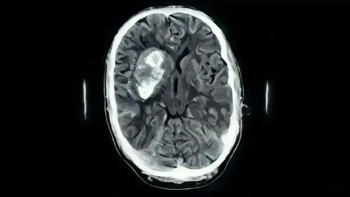
Cirurgia para remover sangue que extravasou para dentro do tecido cerebral (parenquima), formando um coágulo que comprime e danifica as células nervosas ao redor.
Pode ocorrer por hipertensão arterial não controlada, trauma, malformações vasculares ou uso de anticoagulantes. Diferente do hematoma epidural ou subdural, este está "dentro" do cérebro.
Quando é indicada?
🔹 Hematoma com efeito de massa significativo (geralmente >30ml)
🔹 Deterioração neurológica progressiva (queda do nível de consciência)
🔹 Desvio de linha média >5mm (sinal de compressão)
🔹 Pressão intracraniana refratária a tratamentos clínicos
🔹 Hematomas superficiais (mais acessíveis cirurgicamente)
🔹 Sangramento intraventricular associado (complicação grave)
Tipos de abordagem
🎯 Evacuação Aberta Convencional Craniotomia sobre o hematoma, abertura cuidadosa do córtex, remoção do coágulo com visão direta.
🔬 Com Sucção Ultrasônica Aspirativa (CUSA) Tecnologia que fragmenta o coágulo sem danificar o tecido cerebral adjacente.
📍 Estereotáxica por Cateter Para hematomas profundos, drenagem minimamente invasiva guiada por imagem (indicação restrita).
🔬 Endoscópica Assistida Endoscópio para visualização e remoção por pequena incisão.
Como funciona o procedimento?
1️⃣ Planejamento: Tomografia para localização precisa do hematoma.
2️⃣ Acesso: Craniotomia sobre a área mais superficial do coágulo.
3️⃣ Corticotomia: Pequena incisão no córtex cerebral para acessar o hematoma.
4️⃣ Evacuação: Remoção do coágulo por sucção suave e irrigação salina.
5️⃣ Hemostasia: Identificação e controle de pontos de sangramento ativo.
6️⃣ Fechamento: Dura, osso e pele reposicionados.
⏱️ Duração: 2 a 4 horas.
O que esperar da recuperação?
🏥 Internação: 10 a 21 dias (UTI + enfermaria + reabilitação).
🧠 Recuperação neurológica: Variável. Depende do tamanho do hematoma, localização e estado prévio do paciente. Pode haver déficits residuais.
📅 Fases:
- UTI: estabilização e prevenção de complicações
- Internação: fisioterapia intensiva precoce
- Reabilitação: 2 a 3 meses de fisioterapia, fonoaudiologia, terapia ocupacional
💼 Retorno ao trabalho: 3 a 6 meses (atividades leves); pode não ser total em trabalhos físicos se houver sequelas.
Sobre segurança e cuidados especiais
Cirurgia de emergência em tecido cerebral doente.
✅ Efeitos temporários:
- Edema cerebral ao redor do hematoma (tratável)
- Possível piora transitória da consciência
- Febre (comum após sangramento no cérebro)
✅ Nossa equipe está preparada para:
- Re-sangramento (5-10% dos casos — monitoramento tomográfico seriado)
- Edema cerebral exacerbado (controle de pressão intracraniana)
- Hidrocefalia (derivação se necessário)
- Convulsões (medicação profilática)
✅ Conversamos previamente sobre:
- Prognóstico reservado, dependente da extensão da lesão inicial
- Possibilidade de déficits neurológicos residuais
- Importância do controle pressórico pós-operatório (prevenir novos sangramentos)
Tomada de decisão
🔹 Nem todo hematoma intracerebral precisa de cirurgia — hematomas pequenos e profundos podem ser tratados clinicamente
🔹 A decisão balanceia o risco da cirurgia vs. o risco da compressão continuada
🔹 Fatores favoráveis: hematoma superficial, grande volume, deterioração progressiva
🔹 Fatores desfavoráveis: localização profunda no hemisfério dominante, idade avançada, coagulopatias
*🤝 Removemos o que comprime, mas a recuperação depende da resiliência do tecimento cerebral ao redor. Este conteúdo não substitui a consulta individual onde o caso específico será discutido em detalhe.*acraniana refratária ao tratamento clínico.
Variantes da Técnica: Craniotomia com evacuação aberta, craniotomia com evacuação por sucção ultrasônica aspirativa (CUSA), evacuação por cateter drenagem estereotáxica, evacuação endoscópica assistida, e craniotomia com hemostasia ativa.
Comparativo de Variantes:
Evacuação Aberta:
- Benefícios: Visualização direta, hemostasia efetiva
- Riscos: Trauma cerebral adicional, maior invasividade
Evacuação Estereotáxica:
- Benefícios: Minimamente invasiva, menor trauma
- Riscos: Hemostasia limitada, resolução parcial
Com CUSA:
- Benefícios: Remoção eficiente do coágulo, preservação do tecido
- Riscos: Custo do equipamento, curva de aprendizado
O Procedimento: O neurocirurgião realiza craniotomia sobre a localização do hematoma. Após abertura da dura-máter, o córtex cerebral é aberto cuidadosamente até o hematoma. O coágulo sanguíneo é removido por sucção suave e irrigação. Fontes de sangramento ativo são identificadas e coaguladas. O espaço é irrigado até limpar. A dura-máter é fechada e o flap ósseo reposicionado.
Benefícios Esperados: Redução da pressão intracraniana, prevenção de herniação cerebral, melhora do nível de consciência, redução do edema cerebral secundário, melhor chance de recuperação funcional, prevenção de complicações sistêmicas da hipertensão intracraniana.
Riscos e Complicações:
Riscos Gerais: Infecção, sangramento.
Riscos Específicos:* Recorrência do hematoma (re sangramento - ocorrência de 5-10%), edema cerebral exacerbado, lesão de tecido cerebral adjacente, convulsões, hidrocefalia (se sangramento intraventricular), déficits neurológicos novos ou agravamento.
Cuidados Pós-Operatórios: UTI neurocirúrgica obrigatória. Monitoramento de pressão intracraniana (PIC) se indicado. Controle rigoroso da pressão arterial (evitar hipertensão que cause re sangramento). Tomografias seriadas. Fisioterapia intensiva precoce. Prevenção de complicações pulmonares.
Jornada de Recuperação:
- Tempo de Internação: 10 a 21 dias (UTI + enfermaria + reabilitação)
- Tempo de Recuperação Inicial: 2 a 3 meses
- Tempo de Retorno ao Trabalho: 3 a 6 meses (leve); pode não retornar ao trabalho físico (dependendo de déficits)
⚠️ Observação Importante: Este conteúdo tem caráter informativo e não substitui a avaliação individualizada em consulta médica.
